Stem cells with potential to regenerate injured liver tissue identified by Penn researchers
Related images
(click to enlarge)
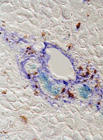
A novel protein marker has been found that identifies rare adult liver stem cells, whose ability to regenerate injured liver tissue has the potential for cell-replacement therapy. For the first time, researchers at the University of Pennsylvania School of Medicine led by Linda Greenbaum, MD, Assistant Professor of Medicine in the Division of Gastroenterology, have demonstrated that cells expressing the marker can differentiate into both liver cells and cells that line the bile duct. In the future, this marker will allow for the isolation and expansion of these stem cells, which could then be used to help patients whose livers can no longer repair their own tissue. About 17,000 Americans are currently on a waiting list for a liver transplant, according to the American Liver Foundation. The findings appear online this month in the journal Hepatology.
"In a healthy liver, proliferation of mature liver and bile-duct lining cells is sufficient to maintain the necessary size and function of the organ," explains Greenbaum. "This even works when the liver is confronted with mild and acute injury, but the situation changes when injury to the liver is chronic and severe."
For chronic injury, the liver uses a back-up system that stimulates stem cells to proliferate and eventually differentiate into new liver cells. Greenbaum and colleagues found that these dual-potential stem cells can be identified and potentially isolated from other liver cells because they uniquely express the protein Foxl1. The team showed that in two mice models of liver injury, stem cells and their descendents were marked by the expression of FoxL1. The researchers propose to use this marker to isolate the Foxl1-bearing stem cells and transplant them back into damaged livers to restore function.
"At this point, we haven't identified the molecular targets that are regulated by Foxl1 in the liver stem cell," says Greenbaum. The researchers also do not yet know what signals activate the expression of Fox l1 and how exactly it is related to liver function. But, they finally have a molecular handle on identifying liver stem cells, which have remained elusive to scientists.
"This work has significant implications for cell-replacement therapies of chronic liver disease in the future," says Greenbaum.
Source: University of Pennsylvania School of Medicine
Other sources
- Stem cells with potential to regenerate injured liver tissue identified by Penn researchersfrom Biology News NetThu, 13 Nov 2008, 4:07:12 UTC
- Stem Cells With Potential To Regenerate Injured Liver Tissue Identifiedfrom Science DailyWed, 12 Nov 2008, 17:35:13 UTC
- Stem cells with potential to regenerate injured liver tissue identifiedfrom PhysorgWed, 12 Nov 2008, 16:35:28 UTC
